60分钟可以做什么?可以刷一集连续剧、可以打一场羽毛球,60分钟在北京大学人民医院可以拯救一次生命、可以挽救一个家庭,医护人员分秒必争在60分钟内让突发心肌梗死患者重获“心”生。
10月24日15:00,北京大学人民医院呼吸内科门诊候诊的苏阿姨突然感到前胸上腹剧烈疼痛,痛到几乎窒息,她痛苦地倚在候诊椅上大汗淋漓。呼吸与危重症医学科公丕花副主任医师恰好经过发现了患者的异样,“您哪里不舒服?”患者已经痛得无力描述,轻声呻吟“肚子疼”。公医生看了看患者手捂的位置和剧烈疼痛的程度,凭借多年的临床经验立即敏锐地做出判断“不是腹痛,极大可能是急性心脏事件!”公医生立刻冲上呼吸门诊取出急救箱,叫来正在出诊谭星宇副主任医生,二人三步并作两步赶到患者跟前检查患者生命体征。血压90/60mmHg“患者可能是心梗,有心源性休克风险!”门诊护士和保安立刻推出急救床扶患者躺上。
15:04,门诊部、医务处工作人员抵达,孙东东护士长为患者吸氧、开放静脉通路,推起转运车送患者去做心电图。又一次生死时速地转运开始。北京大学人民医院对门诊急救流程做了系统梳理制定相应预案门诊各区域都配备急救设施医护人员定期组织培训,这样的生死时速的转运不知道进行了多少次。
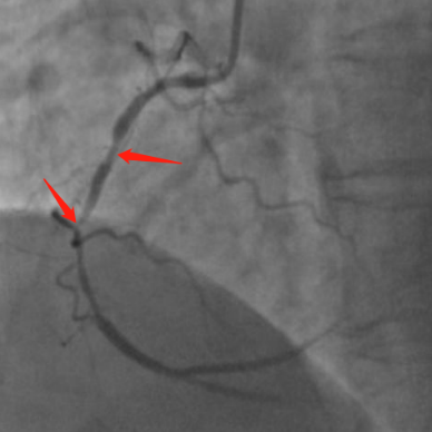
15:15,患者心电图结果显示II、III、AVF导联ST段抬高,这些变化逃不出心内科专家的眼睛,下壁心肌梗死!三度房室传导阻滞!冠状动脉是心肌细胞的“营养通道”,正是冠状动脉为心肌细胞提供养分,心肌细胞才能正常工作,心脏才能不断地将血液泵到身体各处。冠状动脉闭塞 20 分钟以内,缺血的心肌如果能再次得到供血,就可以修复;闭塞30分钟,心肌进入功能性的损伤阶段,但还是可逆的;如果心肌持续得不到血供,2个小时左右就会进入坏死阶段,坏死的心肌变为纤维化的瘢痕,不能收缩,心肌的收缩能力就会下降,这会严重影响心脏的功能,患者的健康乃至生命都会受到影响。
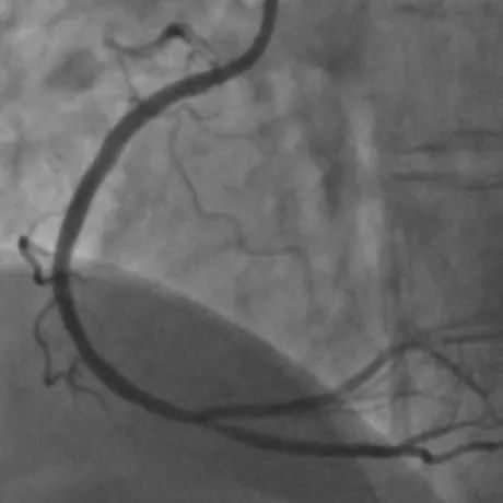
现场医生立刻电话联系心内科,必须尽快恢复患者冠脉灌注!门诊部进行快速核酸检测,但核酸结果出来至少需要几个小时,没有核酸结果,增加了疫情防控风险,但是在生命面前,及时救治更为重要!陈红主任和刘健副主任果断决定立即启动胸痛中心绿色救治通道,升级防护尽快为患者实施介入手术。冠脉造影证实了心电图的结果右冠状动脉近段和中段80%,99%狭窄。医护人员披上铅衣铠甲,穿戴上密不透风的防护服和防护面罩。术者、助手、护士、技师每个人都精神高度集中,分工明确,紧密协作。
16:00,宋俊贤和张静医生迅速完成导丝通过球囊扩张及支架置入,而此时距离患者发生胸痛仅有60分钟,达到了急性心肌梗死治疗指南中FMC-to-W(首次医疗接触到导丝通过)不超过60分钟的国际标准,时间就是生命,时间就是心肌,及早成功开通梗死的血管是救治急性心肌梗死患者关键所在。
在黄金时间窗内,争分夺秒成功开通闭塞的血管,尽可能多的保护了更多心肌。手术非常成功苏阿姨胸闷、胸痛症状随即消失,术后心电图恢复正常。
这60分钟是分秒必争的60分钟、是与时间赛跑的60分钟,疫情防控与生命救治两手抓两手都要硬,北京大学人民医院再次用专业与高效诠释“人民至上、生命至上”的医者使命,为人民健康保驾护航。
专家提示
每年11月到来年3月是心梗猝死的高峰期,气温骤变和低温时,容易加重心绞痛、心梗和猝死发生的可能性。
胸痛、胸闷、全身大汗淋漓和胸口压榨性疼痛是心肌梗死的典型症状。一旦出现这些症状,必须在第一时间拨打120急救电话!临床上,有五至八成的急性心肌梗死患者在发病前1~2天或更早就有预警征兆,胸痛是其中重要表现。
胸痛是急性心肌梗死的重要症状,但不是所有急性心肌梗死都会出现胸痛,还可能出现如肩部、手臂、颈部、背部、上腹或下颚等其他部位疼痛。而且,疼痛的性质也很多样,如压迫感、紧缩感、烧灼感、压榨样不适、撕裂样、隐痛不适,甚至是难以描述的不适感。此外,患者可能伴有出汗、心慌、胸闷气短、呼吸困难、虚脱、濒死感等症状。患者一旦出现急性胸痛或类似症状,应立即拨打急救电话。
虽然胸痛不代表发生急性心梗,但尽早就诊可以早识别或排除危及生命的病因,早一点得到治疗,就多一分生存的希望。
(供稿:宣传中心、门诊部、心内科责编:汪铁铮)














