医学从不是一座孤岛
是主观分析与客观检查的相辅相成
是多学科医学人的鼎力合作
是医患之间彼此共通的关怀信任
共同构筑起通向健康彼岸的坚实桥梁
五月一个普通的午后,张婷(化名)忐忑地坐在病床上,等待着自己的诊断结果。数月前的她并没有想到自己将成为这次“探案”的主角。病房内的氛围安静平和,但在咫尺的妇科医生示教室内,正有一场头脑风暴在激烈地进行。
难言之隐 患者慕名就医
张婷曾有两次顺产史,她的盆底结构因此受到一定损伤,导致了子宫脱垂。为改善盆底情况,7个月前她在外院接受了髂耻韧带悬吊术,术后情况尚可。
但术后3个半月,她先是出现了尿频尿急尿痛等尿路刺激症状,后来更是出现了排尿困难,检查提示膀胱梗阻,双肾积水。无奈之下,她只好接受了长达2个月的导尿治疗。
在刚拔出尿管后,张婷尚可自主排尿,这曾为她带来短暂的欣喜。但排尿困难的问题总会在尿管拔出10小时后卷土重来,十分令人困扰。
导尿治疗的过程为张婷带来诸多痛苦与不便。更何况导尿本是能让她排尿的权宜之计,治标不治本。她决定寻找问题根源,彻底解决症状。
在多方打听、搜索资料后,张婷来到了北大人民医院妇科门诊,找到盆底方面的专家孙秀丽主任请求帮助。
寻根溯源 影像学大显神通
“实在奇怪,在髂耻悬吊术后,下尿路功能应有所改善,怎么会出现尿潴留呢?”这是张婷的困扰,也是大部分人的疑问。
在门诊,孙秀丽主任安抚了张婷的紧张情绪。在仔细询问病情后,孙主任若有所思。通过丰富的临床经验和敏锐的职业嗅觉,孙主任隐隐觉得,似乎有一条线将这两个病例串接联系在了一起。“髂耻悬吊术相对其他术式有出血少恢复快的优势,但其对于人体原本的解剖与力学结构改变相对较大。而结构的改变,往往导致功能的异常。”
盆腔影像学,作为妇科医生的“透视眼”,常常能帮助妇科医生了解患者病因病情,辅助医生制定更适宜的手术方案。
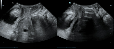
果不其然,张婷的盆腔影像学检查结果提示了很多结构异常。盆腔核磁检查结果显示:膀胱下段与宫颈之间粘连紧密,以前手术放入的网片与双侧三角区关系密切。盆底超声提示尿道旋转角及膀胱后角角度均有明显增大,尿道向后下方移位,但与尿道相连的膀胱上段却并无位置移动;在宫颈前方,7个月前手术放入的网片将子宫颈与膀胱后壁下段紧密粘连。这些信息,成为破解谜团,解除患者痛苦的重要线索。
“膀胱下段粘连固定,尿道却向后下方移位,因此尿道可能形成一定角度,阻碍排尿。”超声科专家耿京根据所见提出了推测。提供的动态超声视频显示,膀胱后壁上段与宫颈粘连固定在一起,并不与其他部位一起运动,这更加支持了该推测。
拨云见日 疑难症状端倪初现
清晰的影像学结果,为医生们提供了一种较为直接的思路。但很快有了新的疑问:这无法解释一个现象——张婷的尿潴留是迟发的!
如果仅为压迫因素作祟,那么张婷的尿潴留应从拔掉尿管那一刻就开始了,但张婷在拔掉尿管的前几个小时是能够顺利排尿的。这其中一定还有其他因素暗中影响。“影像学为我们提供了很直观的参考依据,但它也有自己的局限性,它只能看到当下的表现。作为临床大夫,我们需要关注更长远更动态的过程,不能完全依赖于辅助检查。”
孙主任拿起笔,在纸上画了一个“垂头丧气”的膀胱,它向前弯折,像一株沉甸的水稻,接着又画了一个普通膀胱。“张婷在刚拔除尿管的几小时内,膀胱积蓄尿液量少,形态改变小,能够正常排尿。但长时间后积攒的大量尿液将膀胱前壁向下压坠。而膀胱后壁下段因粘连,不能和谐地变形并分担前壁压力,使前壁过度变形,与尿道形成近似锐角。所以就尿液就储存在形成的凹处,导致尿潴留。”
听完孙主任的解释,大家豁然开朗。这次盆底团队的内部讨论卓有成效。结合了临床智慧,医生们抽丝剥茧,使张婷的“奇症”得到了合理的解释。同时,孙主任与谢冰副主任医师共同讨论了网片对输尿管可能存在的影响,并借此研究了张婷进一步的治疗方案。
寻病因 慎诊断 完善鉴别
然而真正的病因就这样水落石出了吗?只要解决网片的粘连,所有问题就迎刃而解了吗?具有成熟临床思维的专业医生,不会忽略任何一种可能。进行完善的鉴别诊断,是寻溯真正症结的必要过程。
除了影像学检查,尿动力学检测结果同样需要关注。在压力-流率检测图像上,弱、短、缓的Pdet曲线提示着:张婷存在膀胱逼尿肌无力。作为泌尿系统的“推进器”,逼尿肌的功能障碍同样可能引起排尿困难,如果这才是张婷尿潴留的病因,那么治疗思路与方案将截然不同。
审慎思考后,一场由妇产科、泌尿外科、超声科、麻醉科等多学科联合诊疗(MDT)的大讨论正式开启。
尽管盆底团队已有合理的猜想与检查依据,但对于每一位患者,人民医生都会全力以赴,做最充足的准备,将疗效提至最佳,将风险扼至最小。
多学科联合行诊疗探真相
多学科联合诊疗(MDT)一直是北大人民医院的特色与传统,打破学科壁垒,才能够最大发挥综合医院的优势。
于是,泌尿外科专家受邀来到了妇科示教室,参与了这场强强联手的查房。他山之石可以攻玉,泌尿外科专家的参与为大家带来了更丰富的经验支持,也提供了全新的视野与角度。
大家一起分析两种病因的可能性,及相对应的临床证据与辅助检查,尽可能还原疾病的发生发展过程,并给出具体的处理建议。多学科的不同思维与经验,让诊断与治疗方案更加完备。
结合病史与影像学、尿动力检查结果,考虑张婷的排尿困难与手术相关可能性大,决定行腹腔镜下网片松解+取出术,给固定的膀胱后壁松绑,解除膀胱下段的梗阻。因磁共振提示网片与膀胱三角区关系密切,因此决定将网片先从宫颈上松解下来,从固定的髂耻韧带处剪短,再谨慎将网片从膀胱后壁剥离下来,三角区附近小心游离以免损伤输尿管。这些措施让手术安全性得到了更大的保障。
但是问题又来了,如果将网片从髂耻韧带固定端剪断后,子宫再次掉下来,而且患者本身也还有阴道后壁脱垂和会阴陈旧裂伤的问题。对于是否同期行脱垂修复手术大家也产生了一些分歧。
“这样确实会更加复杂,手术的体量与难度都会有明显的增加。但患者克服了很多困难才从外地来到了人民医院。分两次手术,对患者的精力、经济都会造成更大的负担。作为三甲医院,我们需要拿出足够的担当与关怀,才能对得起患者的信任。”
最终孙主任还是决定同期手术,一次性解决张婷的所有困扰。
在术中,果然发现膀胱与宫颈固定在一起,孙主任耐心地分离并保护好重要的组织器官,小心取出了布满炎症粘连物质的网片,并进行了盆底结构的修复。在术中,果然发现膀胱与宫颈固定在一起,孙主任耐心地分离并保护好重要的组织器官,小心取出了布满炎症粘连物质的网片,并进行了盆底结构的修复。
在麻醉科的保驾护航之下,手术很成功,但医护们仍忧心忡忡,这一次能够帮助张婷完全摆脱尿管吗?
顽疾治愈 多方努力结局终圆满
转眼到了术后第4天,护士帮助张婷拔除尿管。观察的时间显得格外漫长。2小时后患者顺利排尿,大家都松了一口气,但仍不敢完全放松。孙主任嘱咐夜班值班医生严密观察,避免膀胱过度充盈。
第二天查房,张婷兴奋的告诉大家她排尿特别顺畅。大家都为她高兴。继续观察3天,张婷一直保持着正常的排尿功能。这段跌宕起伏牵系人心的故事,最终得以圆满结局。张婷对孙主任带领的盆底团队表达了真挚的感激之情。
孙主任带领的盆底团队从大处着眼,小处着手,完善盆底影像学及尿动力学等多项检查,进行综合的、全面的术前评估,只为对患者提供精准的个体化治疗。兄弟科室及时帮助支持,协作参与MDT,共同制定实施更科学的治疗方案。
细心、耐心;援手、携手,就这样,人民医院多学科专家协作诊疗共抗病魔,帮助患者重获生命的温度与健康的力量。
(供稿:妇产科 责编:李杨乐)












